Desarrollan un modelo ‘inteligente’ que facilita el diagnóstico temprano de enfermedades pulmonares
Un equipo de investigación de la Universidad de Cádiz ha creado un sistema basado en aprendizaje profundo capaz de localizar y clasificar automáticamente anomalías en radiografías de tórax. Los resultados mejoran la precisión de otros métodos utilizados y lo validan como una herramienta con potencial para dar soporte a la evaluación precoz de patologías del pulmón.
Fuente: Fundación Descubre
Un equipo de investigación de la Universidad de Cádiz y del Hospital Universitario Puerta del Mar, pertenecientes al Instituto de Investigación e Innovación Biomédica de Cádiz (INiBICA), ha desarrollado un modelo basado en inteligencia artificial que mejora la detección automática de posibles alteraciones en radiografías de tórax. La herramienta se presenta como un aliado rápido y preciso para neumólogos y radiólogos en el diagnóstico de enfermedades pulmonares.
Algunas anomalías que se producen en el pulmón con patologías como la silicosis, se presentan de forma sutil en sus fases iniciales, lo que puede dar lugar a interpretaciones clínicas diferentes. En el artículo ‘Localization and classification of abnormalities on chest X-ray images using a Mamba-YOLOvX model’, publicado en la revista Expert Systems with Applications, expertos en neumología e inteligencia artificial han evaluado un nuevo modelo, denominado Mamba-YOLOvX, que permite localizar lesiones de diversos tamaños de forma rápida y efectiva.

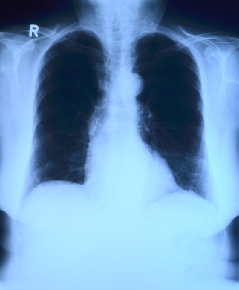
Ejemplo de una imagen de radiografía de tórax disponible en el conjunto de datos: a) imagen original, b) imagen original con las costillas etiquetadas en colores.
El modelo está basado en algoritmos de aprendizaje automático que utilizan una arquitectura conocida como redes neuronales convolucionales, que imitan el funcionamiento de la corteza visual humana. Así, el sistema aprende a reconocer y diferenciar objetos analizando miles de imágenes. Primero, se entrena con ejemplos en los que se indica qué se debe identificar y, a partir de ahí, la red extrae automáticamente patrones y características cada vez más complejas. Esto le permite hacer predicciones sobre nuevas imágenes, corregirse con la experiencia y mejorar con cada intento.
De esta manera, los expertos han entrenado a la IA con miles de radiografías diferentes. “En muchas ocasiones, algunas lesiones pulmonares pueden pasar desapercibidas en los exámenes radiológicos, dada la gran dificultad en la interpretación de esta modalidad de imagen médica. Incluso, cuando la enfermedad pasa de un estado inicial a otro de mayor gravedad, la evaluación por parte del experto está sujeta, a menudo, a cierta subjetividad y variabilidad”, indica a la Fundación Descubre el investigador de la Universidad de Cádiz, Daniel Sánchez Morillo, coautor del artículo.
Los resultados obtenidos con el modelo han supuesto una mejora en la precisión de diagnóstico con respecto a otros métodos desarrollados recientemente. “Es especialmente efectivo en el caso de lesiones pequeñas. Por eso, este sistema tiene todo el potencial para ser aplicado como herramienta de apoyo clínico en la detección precoz de lesiones pulmonares”, añade el investigador.
Cribar, diagnosticar, decidir
El nuevo modelo combina la información global de la imagen, es decir, el contexto general, como la forma de los pulmones o la posición del corazón, con la información local, los pequeños detalles que pueden indicar lesiones o irregularidades. Esto permite detectar problemas a diferentes escalas.

El sistema Mamba-YOLOvX se presenta como un aliado rápido y preciso para neumólogos y radiólogos en el diagnóstico de enfermedades pulmonares.
Además, el sistema incorpora mecanismos de atención espacial y de canal, que funcionan como filtros inteligentes capaces de concentrarse sólo en las zonas relevantes de la radiografía y en las características más útiles, ignorando lo que no aporta información. Así, sólo atenderá al pulmón, apartando las costillas o los hombros, y discriminará zonas sanas para centrarse sólo en aquellas que puedan presentar alteraciones.
También incluye bloques de escaneo selectivo, que analizan la imagen en distintas resoluciones y permiten identificar lesiones muy pequeñas, que suelen pasar desapercibidas. Se podría decir que parte de la imagen completa, al mismo tiempo que amplía distintas zonas de la radiografía.
Puntos clave del tórax
Para una mejora en el entrenamiento del modelo, se han empleado datos de distintos centros hospitalarios y una estrategia conocida como aumento de datos, en las que se segmentan las costillas y se alinean puntos clave del tórax para generar nuevas imágenes homogéneas desde una perspectiva anatómica. Con esto, se consigue que sea robusto, incluso ante radiografías de distintos hospitales, de diferente resolución o adquiridas con otro equipamiento. El sistema aprende mejor y funciona de forma más generalizada.
El trabajo forma parte del proyecto PEOPLE, una iniciativa centrada en el desarrollo de herramientas avanzadas de inteligencia artificial capaces de dar soporte para mejorar el diagnóstico temprano y la predicción del pronóstico de la silicosis. Esta dolencia se produce por la inhalación de polvo de sílice cristalina, una sustancia que se genera en el trabajo con algunos materiales, como la piedra artificial. En él, los expertos han desarrollado otros modelos, empleando radiografías de tórax, biomarcadores sanguíneos e imágenes de tomografía computarizada de alta resolución. El objetivo es crear un enfoque integral que mejore la precisión y la rapidez en la identificación de esta patología pulmonar. Todo ello con la colaboración de más de 100 pacientes de la provincia de Cádiz.
Este estudio está financiado por la Consejería de Universidad, Investigación e Innovación de la Junta de Andalucía, bajo el proyecto “Sistema de soporte a la decisión clínica para la diagnosis, clasificación y predicción de la evolución de pacientes con silicosis por piedra artificial” (PEOPLE).
Reportaje: Anatomía del pulmón revelada con mayor precisión
Referencias
Ebrahim Khalili, Daniel Sánchez-Morillo, Blanca Priego-Torres y Antonio León-Jiménez. ‘Localization and classification of abnormalities on chest X-ray images using a Mamba-YOLOvX model’. Expert Systems with Applications. 2025
Más información:
#CienciaDirecta, agencia de noticias de ciencia andaluza, impulsada por la Consejería de Universidad, Investigación e Innovación de la Junta de Andalucía.
Teléfono: 663 920 093
Documentación adicional
Atari.jpg: Equipo de investigación de la Universidad de Cádiz responsable del estudio.
Últimas publicaciones
Investigadoras de la Universidad de Sevilla han analizado el efecto de esta sustancia sobre células articulares sometidas a un estímulo inflamatorio en un ensayo in vitro. Además de disminuir esa reacción, comprueban que puede influir en los mecanismos que regulan la actividad de ciertos genes. La propuesta podría emplearse como estrategia nutricional de apoyo para mejorar la calidad de vida en patologías inflamatorias crónicas.
Sigue leyendo‘Bioreforest’ es un proyecto financiado en el marco del programa Biodiversa+, del que forma parte la Universidad de Málaga junto con universidades europeas.
Sigue leyendoInvestigadores de la Universidad de Córdoba han obtenido un apósito mezclando fibras nanométricas de celulosa y biomasa derivada del cultivo de un hongo. Probado en ensayos 'in vitro' a escala de laboratorio, esta venda absorbe grandes cantidades de líquido que segregan las heridas y evita infecciones bacterianas comunes.
Sigue leyendo


